logo
Board Login
  • Donate!
  • About
    • History & Mission
    • Board of Trustees
    • Staff
    • Contact
    • TVMA
  • Our Work
    • For Texas Communities
    • For Texas Pet Owners
    • For Texas Veterinarians
  • Get Involved
    • Give Back
    • Memorials & Honorariums
    • Pet Memorial Gallery
    • Volunteer
  • News & Impact
    • TVMF Tails
    • TexVetPets Library
    • Corporate & Community Partners
  • Visit TexVetPets

Donate!
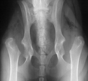
Hip with Femoral Head Ostectomy
  1. Home
  2. Indications for Total Hip Replacement in Dogs and Cats
  3. Hip with Femoral Head Ostectomy

Sign up for email updates

Enter your information below to receive updates on the foundation!

  • Volunteer Opportunities
  • Ways to Give
  • Foundation News
  • About

© 2026 TVMF. All rights reserved. Full Funnel Marketing, Inc.

  • Facebook
  • Instagram
  • Linked In
  • You Tube

  • Volunteer Opportunities
  • Ways to Give
  • Foundation News
  • About
  • Facebook
  • Instagram
  • Linked In
  • You Tube

© 2026 TVMF. All rights reserved. Full Funnel Marketing, Inc.